
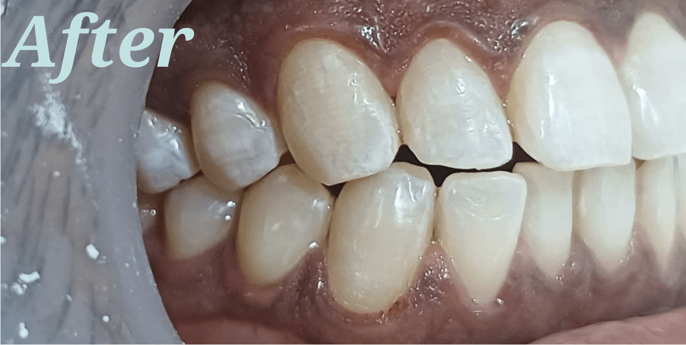
Teeth whitening
A male patient came to us with the complaint of yellowish discoloration of all teeth. The yellowish stains were pulling down his confidence especially in the time of any professional gathering.
Treatment Undergone:
Duration of Treatment:
2 days, 45mins for each session.
Dentist in Charge:
Dr. Sankho D Santra and Dr. Gargi Chatterjee
Results
Teeth whitening was done successfully by making the teeth more white and polished.
RESULTS
Teeth whitening was done successfully by making the teeth more white and polished.


Олег Сазонов
12:41 12 Mar 24
I'm a tourist from Russia! Broke my front tooth. I was very worried whether I could cure it. This clinic did everything great! The price was very good. I recommend to all!

Tseyani Ezung
18:41 07 Mar 24

Shalini Gour
16:39 03 Mar 24

Niraj Basotia
18:44 12 Feb 24
Very good experience, overall. Will recommend this clinic to all in need of dental care...

Anupam Roy
12:58 11 Feb 24
Highly recommend this clinic, both Dr Santa and Dr Chatterjee are very knowledgable, compassionate and take time to explain the conditions and treatments required. Apart from this the clinic is clean, very easily accessible and parking is available.

jennifer joseph
05:39 31 Jan 24
Dr Santra's Dental is definetly a go to place for all dental requirments (no second thoughts required). Their facility is very neat and at a very convenient location in New Town. Both Dr. Gargi and Dr. Sanka are extremely knowledgable, attentive, thorough, understanding and patient. I recently visited them for my dental care and they attended to my needs with extreme care. Thank you Dr Gargi and Dr Sanka truly appreciate you both for being you.

Asif Mandal
05:33 21 Jan 24
Dr. Santra & Dr. Chatterjee r best for dental treatment in the town. I would suggest Santra's dental for any dental issue. The environment of the clinic is nice. Hygiene and clininess is well maintained.

Annesha De
16:20 24 Nov 23
Dr Gargi Chatterjee and Dr Sankho Santra are exceptional healthcare professionals, who have provided me with outstanding medical care.
From my very first visit, I was immediately impressed by Dr.Gargi Chatterjee's knowledge, expertise and compassionate approach to patient care.
One of the things that stands out about Dr. Gargi Chatterjee is her excellent communication skills. She takes the time to thoroughly explain medical conditions, treatment options, and any concerns I may have.
I have full trust and confidence in her medical expertise and appreciate the care and attention she has provided me.
I highly recommend 'Santra's Dental' clinic to anyone seeking a compassionate, knowledgeable, and patient-centered medical professional in Kolkata.
From my very first visit, I was immediately impressed by Dr.Gargi Chatterjee's knowledge, expertise and compassionate approach to patient care.
One of the things that stands out about Dr. Gargi Chatterjee is her excellent communication skills. She takes the time to thoroughly explain medical conditions, treatment options, and any concerns I may have.
I have full trust and confidence in her medical expertise and appreciate the care and attention she has provided me.
I highly recommend 'Santra's Dental' clinic to anyone seeking a compassionate, knowledgeable, and patient-centered medical professional in Kolkata.

Pritam Munshi
15:54 10 Nov 23
I had gone to Santra's Dental for my pending teeth scaling and polishing. Dr. Gargi Chatterjee was very polite and patient during the entire procedure. She made me understand the reason behind the plaque formation and answered all my erstwhile queries very competently.
I plan to get my scaling done from Santra's Dental from here-on.
Highly recommend anyone looking for a professional dental appointment to pay them a visit at their clinic.
I plan to get my scaling done from Santra's Dental from here-on.
Highly recommend anyone looking for a professional dental appointment to pay them a visit at their clinic.
More Case studies


Teeth whitening
April 4, 2024